
There are many reasons people have knee replacement surgery, including rheumatoid arthritis, osteoarthritis, traumatic arthritis, or an injury. These issues can cause knee pain while walking, standing, or just trying to get up from a chair after being seated for a while.
Every year, about 700,000 knee replacement surgeries are performed in the U.S. alone thanks to incredible advancements in medical technology. Orthopedic surgeons can now perform knee replacements via minimally invasive methods, allowing the patient to heal more quickly.
Many people with knee arthritis can opt for a partial knee replacement instead of a traditional full knee replacement. This newer method involves less cutting of adjacent tissues around the knee, a shorter healing time, and less pain during the healing process. However, some people will require a full knee replacement in order to achieve pain relief and better mobility.
Let’s talk about what is involved in each type of operation:
Full Knee Replacement Surgery
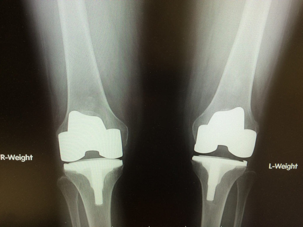
Total knee arthroplasty is the full replacement of the knee joint. It is performed by making surgical adjustments to the bottom of the femur, the top of the tibia, and the kneecap, and replacing them with a prosthetic knee joint. The prosthesis is generally made of metal alloys, titanium, and medical-grade plastics.
Before deciding on the procedure, the orthopedist will assess the patient’s age, range of motion in the knee, and its stability and strength. If the patient is experiencing chronic knee pain and a lack of function, then the orthopedist will likely recommend a full knee replacement.
People with damage to their ACL (anterior cruciate ligament) usually have to opt for a full prosthetic. Those with severe arthritis damage also require a full knee replacement.
Partial Knee Replacement Surgery
Instead of cutting away everything both good and bad, a partial knee transplant involves only removing the areas that are inflamed or injured while saving the knee’s original structures that are in good shape. The surgeon will preserve as much of the natural knee as possible.
In a minimally invasive arthroscopic knee surgery, not every portion of the knee joint is affected. For example, if the issue is arthritis but the ligaments are fine, then the patient’s original ACL and PCL may be preserved.
The benefits of a partial knee replacement include:
- Less original tissue removed
- Smaller incisions
- Less blood loss during surgery
- Fewer complications
- Faster rehabilitation
- More natural range of motion
Knee Surgeons in New Jersey
If you or someone you know has knee pain due to arthritis, a sports injury, or after a car accident, contact our experienced medical team at the Orthopedic Associates of West Jersey today. Our orthopedic surgeons have decades of experience treating knee injuries and arthritis, including full knee replacement surgery and minimally invasive arthroscopy.
Our offices are conveniently located in Dover, New Jersey, across from the Rockaway Mall. Call us at (973) 989-0888 or request an appointment online now, and let us help you take that first step toward painless steps – and a more active tomorrow!
